学习《X线读片指南》骨、关节系统——肱骨
学习《X线读片指南》骨、关节系统——肱骨
一、肱骨正常解剖
肱骨是自由上肢骨之一,是臂的长骨,分为一体两端,膨大的上端为半球形的肱骨头,与肩胛骨的关节盂相关节,头的周围稍缩窄,叫做解剖颈,颈的外侧和前方,各有一隆起,分别称为大结节和小结节。肱骨上端与体交界处骨稍细,叫外科颈,是外伤骨折的易发部位。肱骨体上端呈圆柱形,下端呈三棱柱形,中部外侧有三角肌粗隆。体的后面有桡神经沟。肱骨上端与肩胛骨形成肩关节,下端与桡骨和尺骨形成肘关节。

来源于百度
二、肱骨拍摄体位
1.肱骨正位:患者仰卧摄影床上,患侧上肢伸直,手掌朝上,上臂紧贴床面,肱骨长轴与床面长轴一致,其上下范围包括肩关节与肘关节。
2.肱骨侧位:患者坐于摄影床一侧,患侧上臂紧贴床面,手臂向外侧与躯干部分分开,前臂内旋肘关节弯曲,拇指向上,使肱骨内、外上髁相互重叠呈侧位。其上下范围包括肩关节与肘关节。
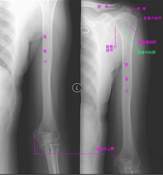
三、肱骨X线图像显示
在X线片上可以看到肩关节、肱骨、肘关节、锁骨、肱骨大小结节、肱骨解剖颈、肱骨外科颈。

来源于百度
四、肱骨骨折X线图
肱骨骨折根据发生部位的不同分为肱骨外科颈、肱骨干、肱骨髁上、肱骨髁间、肱骨外髁、肱骨内上髁。

来源于百度

来源于百度

来源于百度